The interstitial expression of alpha-smooth muscle actin in glomerulonephritis is associated with renal function
Zana Saratlija Novakovic, Merica Glavina Durdov, Livia Puljak, Marijan Saraga, Dragan Ljutic, Tomislav Filipovic, Zvonimir Pastar, Antonia Bendic, Katarina Vukojevic
Med Sci Monit 2012; 18(4): CR235-240
DOI: 10.12659/MSM.882623
Published: 2012-04-01

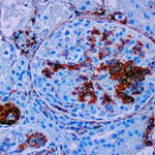
Background: In a healthy kidney, contractile protein alpha-smooth muscle actin (ASMA) is immunohistochemically strongly expressed only in the blood vessels, while in pathological conditions it can be visualized in glomerular mesangial cells and interstitial myofibroblasts. The aim of this study was to explore the possible correlation between expression of ASMA in glomerulonephritis (GN) and indicators of renal function.
Material/Methods: We analyzed expression of ASMA in percutaneous renal biopsy of 142 adult and pediatric patients with GN and its correlation with blood pressure, serum creatinine, creatinine clearance and 24-hour urine protein at the time of biopsy. Immunoexpression of ASMA was analyzed quantitatively using computer-assisted morphometric analysis. Relative surface of ASMA expression in all glomeruli and interstitium was calculated for each patient.
Results: In adults and children, greater expression of ASMA in interstitium was associated with higher serum creatinine and reduced creatinine clearance. Conversely, greater ASMA expression in glomeruli was associated with normal or decreased serum creatinine in adults and increased creatinine clearance in children. In children, correlation was found between high blood pressure and ASMA expression in interstitium.
Conclusions: We confirmed that interstitial expression of ASMA is associated with reduced renal function at time of biopsy. The connection of ASMA expression in glomeruli with lower serum creatinine and normal or increased creatinine clearance suggests a favorable role of this phenotypic change in glomerular filtration rate; further investigation is needed.
Keywords: Humans, Glomerulonephritis - physiopathology, Extracellular Fluid - metabolism, Creatinine - blood, Child, Preschool, Child, Blood Pressure - physiology, Aged, Adult, Adolescent, Actins - metabolism, Infant, Kidney Function Tests, Middle Aged, Proteinuria - physiopathology, young adult






