Latent Transforming Growth Factor β Binding Protein 2 (LTBP2) as a Novel Biomarker for the Diagnosis and Prognosis of Pancreatic Carcinoma
Cheng Wang, Gang Wang, Lu Zhang, Jingen Pan, Yajun Wei
(Department of General Surgery, Anhui Provincial Hospital Affiliated with Anhui Medical University, Anhui Province Key Laboratory of Hepatopancreatobiliary Surgery, Hefei, Anhui, China (mainland))
Med Sci Monit 2017; 23:3232-3239
DOI: 10.12659/MSM.905284
Published: 2017-07-03

BACKGROUND:
Latent transforming growth factor b binding protein 2 (LTBP2) is proven to be associated with ECM and involved in the advancement of several kinds of cancer. The present study evaluated the diagnosis and prognosis of pancreatic carcinoma (PC) using LTBP2 as a biomarker.
MATERIAL AND METHODS:
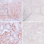
Protein levels of LTBP2 were evaluated in 111 pairs of pancreatic ductal adenocarcinoma (PDAC) tissues and adjacent nontumor tissues via immunohistochemistry. ELISA method was used to quantify the serum concentration of LTBP2. The subjects in this study included 141 PDAC patients, 20 patients with benign pancreatic disease, and 20 healthy volunteers.
RESULTS:
IHC results showed that LTBP2 levels were significantly elevated in the PDAC tissues as compared with the adjacent nontumor tissues (P<0.05). Sixty-one of the 111 (54.9%) PDAC tissues showed high expression of the protein. LTBP2 overexpression was significantly correlated with poor differentiation (P=0.018) and advanced TNM stage (P=0.036). Moreover, Kaplan-Meier analysis showed that high levels of LTBP2 predicted worse overall survival (P=0.001) and disease-free survival (P=0.001). Multivariate Cox regression analysis indicated that high expression of LTBP2 was an autonomous prognostic factor for poor overall and disease-free survival (P=0.001; P=0.002). Receiver operating characteristic (ROC) curve analyses of showed that LTBP-2 had an area under the curve (AUC) of 0.846 (95% confidence intervals: 0.757–0.934) and cut-off value of 19.12.
CONCLUSIONS:
LTBP2 is a novel biomarker for the diagnosis of PC and may be a potential target for PDAC clinical therapy.
Keywords: Carcinoma, Pancreatic Ductal, Diagnosis, Latent TGF-beta Binding Proteins, Prognosis






