Fentanyl Ameliorates Severe Acute Pancreatitis-Induced Myocardial Injury in Rats by Regulating NF-κB Signaling Pathway
Yayun Wang, Manhua Chen
(Department of Cardiology, The Central Hospital of Wuhan, Wuhan, Hubei, China (mainland))
Med Sci Monit 2017; 23:3276-3283
DOI: 10.12659/MSM.902245
Published: 2017-07-06

BACKGROUND:
Acute pancreatitis (AP) is a sudden inflammation of the pancreas. It results in multiple, severe complications, and 15–20% of patients develop severe acute pancreatitis (SAP) with mortality as high as 30%. Consequently, it is imperative to develop an effective therapy for SAP.
MATERIAL AND METHODS:
We used 30 adult male Sprague Dawley (SD) rats. Rats were randomly divided into 3 groups – sham, SAP, and fentanyl+SAP – with 10 rats in each group. An automatic biochemical analyzer was used to analyze the concentration of creatine kinase isoenzyme (CK-MB) and lactate dehydrogenase (LDH). Terminal-deoxynucleotidyl transferase-mediated nick-end labeling (TUNEL) assay was applied to assess the cell apoptosis rate. Pathological changes in pancreas/heart were detected with hematoxylin and eosin (HE) staining. Western immunoblot assay was used to analyze protein levels of interleukin (IL)-1β, IL-6, and IκB.
RESULTS:
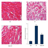
Fentanyl pre-treatment inhibits SAP-induced elevation of CK-MB/LDH concentrations in serum. Compared with the sham group, SAP generates a higher brown/yellow staining rate, which is abated by fentanyl. In the pancreas, SAP generated more serious interstitial edema/hemorrhage and fat necrosis than in the sham group, which are attenuated by fentanyl. Likewise, compared to the sham group, SAP generates swelled/disordered myocardial fibers and congested blood vessels in myocardium, which are ameliorated by fentanyl. In the sham group, there was little IL-1β/IL-6, and fentanyl significantly inhibited SAP-induced up-regulation of IL-1β/IL-6 levels. Compared with the sham group, SAP significantly reduced IκB level, which was rescued by fentanyl.
CONCLUSIONS:
Fentanyl effectively alleviates SAP-induced pancreas and heart injuries through regulating the nuclear factor-κB (NF-κB) signaling pathway.
Keywords: Cardiomyopathies, Fentanyl, Pancreatitis, Acute Necrotizing






