Transduced PEP-1-Heme Oxygenase-1 Fusion Protein Reduces Remote Organ Injury Induced by Intestinal Ischemia/Reperfusion
Xiang-Hu He, Qing-wen Li, Yan-Lin Wang, Zong-Ze Zhang, Jian-Juan Ke, Xue-Tao Yan, Kai Chen
(Department of Anesthesiology, Zhongnan Hospital, Wuhan University, Wuhan, Hubei, China (mainland))
Med Sci Monit 2015; 21:1057-1065
DOI: 10.12659/MSM.893924
Published: 2015-04-12

BACKGROUND:
A fusion protein composed of heme oxygenase-1 (HO-1) and cell-penetrating peptide PEP-1 has been shown to reduce local intestinal injury after intestinal ischemia/reperfusion (I/R). In this study, we investigated the effects of PEP-1-HO-1 fusion protein on remote organ injury induced by intestinal I/R in rats.
MATERIAL AND METHODS:
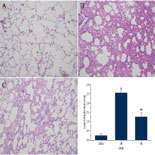
We randomly assigned 24 male Sprague-Dawley rats to 3 groups: Sham, I/R, and I/R plus PEP-1-HO-1 treatment (HO). The model of intestinal I/R was established by occluding the superior mesenteric artery for 45 min followed by 120-min reperfusion. In HO group, PEP-1-HO-1 was administered intravenously 30 min before ischemia, while animals in the Sham and I/R groups received the equal volume of physiological saline. At the end of the experiment, lung, liver, and blood samples were collected and analyzed.
RESULTS:
Malondialdehyde levels and histological injury scores were increased, and superoxide dismutase activities were decreased in the lung and liver tissues in the I/R group compared with the Sham group (P<0.05). Serum levels of alanine aminotransferase, aspartate aminotransferase, tumor necrosis factor-α, interleukin-6, and lung tissue wet weight to dry weight ratio were increased in the I/R group compared with the Sham group (P<0.05). NF-κB expression in intestinal tissues was significantly higher in the I/R group than in the Sham group. These changes were significantly reversed by treatment with PEP-1-HO-1.
CONCLUSIONS:
This study demonstrates that administration of PEP-1-HO-1 has a protective role against lung and liver injury after intestinal I/R, attributable to the reduction of released proinflammatory cytokines regulated by NF-κB.
Keywords: Alanine Transaminase - blood, Animals, Aspartate Aminotransferases - blood, Heme Oxygenase-1 - therapeutic use, Interleukin-6 - blood, Intestines - pathology, Liver - pathology, Lung - pathology, Male, Malondialdehyde - metabolism, NF-kappa B - metabolism, Organ Size, Rats, Sprague-Dawley, Recombinant Fusion Proteins - therapeutic use, Reperfusion Injury - therapy, Superoxide Dismutase - metabolism, Transduction, Genetic, Tumor Necrosis Factor-alpha - blood






