Effect of Pregabalin in Preventing Secondary Damage in Traumatic Brain Injury: An Experimental Study
Cagatay Calikoglu, Hikmet Aytekin, Osman Akgül, Mehmet Hüseyin Akgül, Ahmet Ferruh Gezen, Feyzullah Akyuz, Murteza Cakir
(Department of Neurosurgery, Atatürk University, Faculty of Medicine, Erzurum, Turkey)
Med Sci Monit 2015; 21:813-820
DOI: 10.12659/MSM.893887
Published: 2015-03-18

BACKGROUND:
In this study we aimed to explore the effects of pregabalin on a traumatic brain injury model in rats.
MATERIAL AND METHODS:
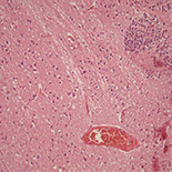
This study included 40 adult male Sprague-Dawley rats randomized into 4 groups, each of which contained equal numbers of animals. The control group had no head trauma and thus was not treated. The trauma group had head trauma but was not treated. The pregabalin group had no head trauma but was treated by pregabalin. The trauma + pregabalin group had head trauma treated with pregabalin. The biopsy samples taken from the study animals were histopathologically examined for the presence of edema, inflammation, and neuronal damage.
RESULTS:
All animals in the trauma group had edema, inflammation, and neuronal damage. Four subjects in the control group, 6 in the pregabalin group, and 4 in the trauma + pregabalin group had edema; inflammation was present in 1 subject in the control group, 3 subjects in the pregabalin group, and 3 subjects in the trauma + pregabalin group; neuronal damage existed in 1 subject in the control group, 1 subject in the pregabalin group, and 6 subjects in the trauma+pregabalin group. The trauma group had significantly higher edema and neuronal damage scores than the other groups. Similarly, inflammation was significantly more prevalent in the trauma group than the control and trauma+pregabalin groups.
CONCLUSIONS:
The results of the present study indicated anti-edema, anti-inflammatory, and neuroprotective effects of pregabalin in an experimental head trauma model in rats. Pregabalin may thus be beneficial in humans with acute TBI by relieving concomitant edema and inflammation.
Keywords: Edema - pathology, Brain Injuries - prevention & control, Animals, Inflammation - pathology, Male, Pregabalin - therapeutic use, Rats, Sprague-Dawley






