Glutamine Provides Effective Protection Against Deltamethrin-Induced Acute Hepatotoxicity in Rats But Not Against Nephrotoxicity
Ercan Gündüz, Burak Veli Ülger, İbrahim İbiloğlu, Aysun Ekinci, Recep Dursun, Yılmaz Zengin, Mustafa İçer, Ömer Uslukaya, Cenap Ekinci, Cahfer Güloğlu
(Department of Emergency Medicine, Faculty of Medicine, Dicle University, Diyarbakır, Turkey)
Med Sci Monit 2015; 21:1107-1114
DOI: 10.12659/MSM.893180
Published: 2015-04-19

BACKGROUND:
The aim of this study was to investigate the protective effects of L-glutamine (GLN) against liver and kidney injury caused by acute toxicity of deltamethrin (DLM).
MATERIAL AND METHODS:
Thirty-two rats were indiscriminately separated into 4 groups with 8 rats each: control group (distilled water; 10 ml/kg, perorally [p.o.]), DLM group (35 mg/kg p.o. one dose.), GLN group (1.5 gr/kg, p.o. single dose.) and DLM (35 mg/kg p.o. one dose.) + GLN group (1.5 gr/kg, p.o. one dose after 4 hours.). Testing for total antioxidant status (TAS), total oxidant status (TOS), interleukin-1 beta (IL-1β), tumor necrosis factor-alpha (TNF-α), and interleukin-6 (IL-6) analyses were performed on tissue samples, and alanine aminotransferase (ALT), aspartate aminotransferase (AST), lactate dehydrogenase (LDH), urea, and creatinine were analyzed on serum samples. Liver and kidney samples were histopathologically analyzed.
RESULTS:
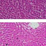
The TOS level in liver was significantly higher in the DLM group than in the control group, and the level in DLM+GLN group was considerably lower than in the DLM group. The TAS level in the DLM+GLN group was considerably higher than in the control and DLM groups. The TAS level in kidney tissues was considerably lower in the DLM group than in controls, but was similar to other groups. Histopathological analyses of liver tissues established a significant difference between DLM and DLM+GLN groups in terms of grade 2 hepatic injury. However, no significant difference was found between DLM and DLM+GLN groups in terms of kidney injury.
CONCLUSIONS:
Glutamine leads to significant improvement in deltamethrin-induced acute hepatotoxicity in terms of histopathologic results, tissue oxidative stress parameters, and serum liver function marker enzymes.
Keywords: Glutamine - therapeutic use, Animals, Kidney Diseases - pathology, Kidney Tubules - pathology, Liver Diseases - pathology, Male, Nitriles - toxicity, Protective Agents - therapeutic use, Pyrethrins - toxicity, Rats, Wistar






