Functional Study of -724I/D Polymorphism in Apolipoprotein M (apoM) Gene Promoter Region and its Association with Myocardial Infarction
Hua Guo, Xian-Xian Zhao, Xiao-Juan Zhang, Wei Chen, Jie Zhang
(Department of Geriatric Cardiology, Jinling Hospital, Nanjing Clinical Medical College, Second Military Medical University, Nanjing, Jiangsu, China (mainland))
Med Sci Monit 2015; 21:371-375
DOI: 10.12659/MSM.893077
Published: 2015-01-31

Background:
The aim of this study was to detect the function of -724I/D polymorphism in the apolipoprotein M (apoM) gene promoter region and to determine its relationship with myocardial infarction (MI).
Material and Methods:
We selected 309 patients with MI and 309 healthy controls for this case-control study. The PCR products of the apoM gene promoter region were directly sequenced to analyze the -724I/D polymorphism. Differences in frequency distributions of genotype and allele were compared between the MI group and the control group. We used gene recombination and site-directed mutagenesis technique to observe the impact of -724 I/D on transcription activity of apoM gene promoter in vitro.
Results:
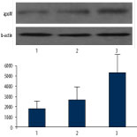
The allele frequency of the -724Del in the MI group was higher than that in the control group (9.5% vs. 3.2%, OR=3.156, 95% CI (1.876~5.309), P<0.001). Compared to the I/I genotype carriers, the apoM levels decreased but the total cholesterol (TC) levels increased significantly in the -724Del allele carriers in plasma. The activity of apoM I/I genotype promoter decreased significantly after the deletion mutation at -724 position in apoM gene.
Conclusions:
-724 I/D polymorphism decreases the apoM promoter activity, down-regulates the apoM protein expression level, and increases the risk of MI.
Keywords: Apolipoproteins - genetics, Alleles, Aged, Case-Control Studies, Cholesterol, HDL - metabolism, Coronary Angiography, Coronary Artery Disease - genetics, Female, Genetic Predisposition to Disease, Genotype, Humans, Lipocalins - genetics, Male, Middle Aged, Mutation, Myocardial Infarction - genetics, Polymorphism, Genetic, Promoter Regions, Genetic






