Immunoglobulin G4-Related Disease (IgG4-RD) in the Orbit: Mucosa-Associated Lymphoid Tissue (MALT)-Type Lymphomas
Krzysztof Oleś, Jacek Składzień, Wojciech Szczepański, Krzysztof Okoń, Joanna Leszczyńska, Emilia Bojanowska, Krzysztof Bartuś, Joanna Mika
(Department of Otolaryngology, Medical College Jagiellonian University, Cracow, Poland)
Med Sci Monit 2015; 21:1043-1050
DOI: 10.12659/MSM.893043
Published: 2015-04-10

Background:
MALT lymphomas were classified for differential diagnostics of IgG4-dependent disease due to their exceptional predilection to intraorbital localization. Therefore, the goal of our studies was large retrospective analysis of patients diagnosed with MALT lymphomas within the orbital tissues, since no such studies have been conducted in Poland.
Material and Methods:
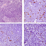
The starting study population consisted of 167 patients with isolated infiltrative tumor diseases within the orbital region treated at the Department of Otolaryngology, Head and Neck Surgery of the Medical College Jagiellonian University in Cracow. The immunohistochemical assays using anti-IgG, anti-IgG4 and anti-CD138 antibodies were used to estimate the IgG4+/CD138+ and IgG4+/IgG+ ratios.
Results:
Of all the studied and analyzed patients, a final group of 19 patients with orbital MALT lymphomas was selected to undergo diagnostic examinations for IgG4-related disease. Detailed analysis and diagnostic screening for IgG4-related disease was performed and results meeting the criteria of IgG4-dependent disease were obtained in 10 out of 19 patients with the diagnosis of MALT tumor established on the basis of immunohistochemical assays.
Conclusions:
MALT lymphomas are the most common of all lymphomas occurring within orbital tissues. In this study, results consistent with the criteria of IgG4-related disease were obtained in approximately 50% patients with immunohistochemical diagnosis of orbital MALT lymphoma.
Keywords: Female, Diagnosis, Differential, Aged, Humans, Immunoglobulin G - metabolism, Immunohistochemistry, Lymphoma, B-Cell, Marginal Zone - pathology, Male, Middle Aged, Orbital Neoplasms - pathology, Plasma Cells - pathology, Syndecan-1 - metabolism






