Identification of γ-Synuclein as a Stage-Specific Marker in Bladder Cancer by Immunohistochemistry
Jiyu Zhao, Nianzeng Xing
(Department of Urology, Beijing Chaoyang Hospital, Capital Medical University, Beijing, China (mainland))
Med Sci Monit 2014; 20:2550-2555
DOI: 10.12659/MSM.892927
Published: 2014-12-05

Background:
Previous studies have shown that the expression level of γ-synuclein (SNCG) is associated with progression of many different malignant tumors. In this study, we discuss and assess the prognostic ability of SNCG in bladder cancer.
Material and Methods:
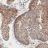
Medical records (2005–2013) were retrospectively reviewed for the population of interest. SNCG expression was identified immunohistochemically from bladder cancer tissues of 113 bladder cancer patients. The survival rate was calculated by the Kaplan-Meier method. Cox proportional hazard regression model was used for analysis of predictors of bladder cancer.
Results:
SNCG was overexpressed in bladder cancer tissues compared with the normal bladder tissues (p<0.0001). SNCG expression in bladder cancer tissue was strongly related to tumor stage. However, SNCG level was not a prognostic factor of survival.
Conclusions:
Our results demonstrate that SNCG is highly expressed in bladder cancer tissue and its expression is stage-specific, but it is not helpful for predicting outcome in bladder cancer patients.
Keywords: Aged, Adult, Aged, 80 and over, Disease Progression, Female, Humans, Immunohistochemistry, Kaplan-Meier Estimate, Male, Middle Aged, Multivariate Analysis, Neoplasm Recurrence, Local - pathology, Neoplasm Staging, Tumor Markers, Biological - metabolism, Urinary Bladder Neoplasms - surgery, gamma-Synuclein - metabolism






