Sepsis Induced by Staphylococcus aureus: Participation of Biomarkers in a Murine Model
Thiago Henrique Caldeira de Oliveira, Aline Teixeira Amorim, Izadora Souza Rezende, Maysa Santos Barbosa, Hellen Braga Martins, Anne Karoline Pereira Brito, Ewerton Ferraz Andrade, Gleisy Kelly Neves Gonçalves, Guilherme Barreto Campos, Robson Amaro Augusto Silva, Jorge Timenetsky, Lucas Miranda Marques
(Multidisciplinary Institute of Health, Federal University of Bahia, Vitória da Conquista, Brazil)
Med Sci Monit 2015; 21:345-355
DOI: 10.12659/MSM.892528
Published: 2015-01-29

Background:
This study aimed to evaluate the role of biomarkers in the pathophysiological process induced by a Staphylococcus aureus strain obtained in a hospital environment. For this, we intraperitoneally inoculated groups of male BALB/c mice with S. aureus, using a clinical isolate (CI) of S. aureus.
Material and Methods:
Mice were divided into groups according to time of euthanasia (24, 48, 72, 96, 120, 144, and 168 hours of infection). After being euthanized, blood samples were collected for quantification of microorganisms and leukocytes, as well as measurement of biomarkers of tumor necrosis factor alpha (TNF-α), interleukin 6 (IL-6), C-reactive protein (CRP), and Procalcitonin (PCT) by ELISA. Heart, kidneys, and lungs were removed for histopathological analysis, assessment of biomarkers of tissue expression by RT-PCR (polymerase chain reaction with reverse transcriptase), and quantification of microorganisms by real-time quantitative PCR (real-time PCR).
Results:
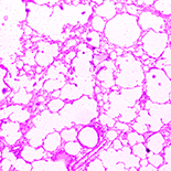
The animals infected at between 120 hours and 168 hours had the highest blood levels of S. aureus. We observed that infection promoted increases in the levels of circulating neutrophils and monocytes. However, there was a reduction of circulating neutrophils and monocytes after 96 hours of infection. The infected mice also had increased levels of blood lymphocytes. In this model of infection with S. aureus, IL-6, CRP, and PCT demonstrated greater fidelity as markers of infection, since serum levels were elevated and lowered along with the number of circulating neutrophils and monocytes after resolution of the infection. The lungs showed hyperemia, with enlargement of the alveolar septa. On the other hand, infection with S. aureus did not promote visible change in histological tissue in the heart and kidneys.
Conclusions:
In this model of infection with S. aureus, IL-6, CRP, and PCT demonstrated greater fidelity as markers of infection, since serum levels were elevated and lowered along with the number of circulating neutrophils and monocytes after resolution of the infection. We believe our results may provide a better understanding of the pathophysiology, as well as aid in the search for a more reliable method of diagnosis.
Keywords: Biological Markers - metabolism, Animals, C-Reactive Protein - chemistry, Calcitonin - blood, Enzyme-Linked Immunosorbent Assay, Gene Expression Profiling, Inflammation - microbiology, Interleukin-6 - blood, Leukocyte Count, Male, Mice, Mice, Inbred BALB C, Protein Precursors - blood, Real-Time Polymerase Chain Reaction, Reverse Transcriptase Polymerase Chain Reaction, Sepsis - physiopathology, Staphylococcal Infections - physiopathology, Tumor Necrosis Factor-alpha - blood






