Microstructural Abnormality in Left Nucleus Accumbens Predicts Dysfunctional Beliefs in Treatment-Resistant Obsessive-Compulsive Disorder
Zhongchun Li, Weidong Ji, Deqiang Li, Xujuan Li, Wei Feng
(Department of Neurology, Tongde Hospital of Zhejiang Province, Hangzhou, China (mainland))
Med Sci Monit 2014; 20:2275-2282
DOI: 10.12659/MSM.891102
Published: 2014-11-13

Background:
The aim of this study was to determine whether dysfunctional beliefs might predict treatment-resistance and to examine the relationship between fractional anisotropy (FA) in diffusion tensor imaging (DTI) and cognitive biases for optimal treatment choice.
Material and Methods:
We recruited 11 non-resistant obsessive-compulsive disorder (OCD) patients, 11 resistant OCD patients, and 11 healthy subjects.
Results:
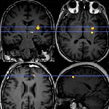
OCD patients had higher Obsessive Beliefs Questionnaire (OBQ-87) subscale scores than subjects in non-resistant and resistant groups. A significant difference was found between non-resistant and resistant OCD patients in R-Scale and I-Scale. A significant decrease in FA was found in left dorsal frontal gyrus and left inferior parietal lobule in the non-resistant group as compared to the control group. FA also decreased significantly in left anterior cingulate cortex, putamen, and nucleus accumbens in the resistant group as compared to the control group. There was a significant decrease in FA in nucleus accumbens in the resistant group as compared to the non-resistant group. Reduced FA in left nucleus accumbens was negatively associated with OBQ-87 factor R and I and the total Yale-Brown Obsessive-Compulsive Scale (Y-BOCS).
Conclusions:
Abnormalities in cortical-striatal white matter networks may contribute to the dysfunctional beliefs in patients with treatment-resistant OCD, and the left nucleus accumbens may be an important and promising target for the treatment of OCD.
Keywords: Culture, Anisotropy, Adult, Demography, diffusion tensor imaging, Humans, Nucleus Accumbens - physiopathology, Obsessive-Compulsive Disorder - therapy, Questionnaires, Regression Analysis, young adult






