99mTc-EDDA/HYNIC-TOC somatostatin receptor scintigraphy in daily clinical practice
Beata Ewa Chrapko, Anna Nocun, Renata Golebiewska, Boguslaw Stefaniak, Elzbieta Korobowicz, Elzbieta Czekajska-Chehab, Marek Sawicki, Wojciech Piotr Polkowski
Med Sci Monit 2010; 16(4): MT35-44
ID: 878485
Published: 2010-04-01

Background:
This study aimed to assess the impact of 99mTc-EDDA/HYNIC-TOC (99mTc-TOC) somatostatin receptor scintigraphy (SRS) in clinical practice.
Material and Method:
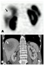
One hundred seventeen patients were divided into 6 groups: 1, initial detection and localization of suspected neuroendocrine tumor (NET); 2, tumor staging before therapy; 3, staging of NET of unknown origin, 4, restaging after surgery of primary tumor; 5, diagnosis of solitary pulmonary nodules (SPNs), and 6, follow-up after "cold" somatostatin analogues treatment.
Results:
In group 1, clinical suspicions were not confirmed in any of the patients; in group 2, most of the primary lesions showed overexpression of somatostatin receptors (SSRT); in group 3, the primary tumor was not identified in any of the patients; in group 4, recurrences were depicted in 7 out of 47 patients; in group 5, only 1 malignant SPN was detected, and in group 6, regression of primary mass and metastases were seen on follow-up SRS in 1 patient.
Conclusions:
99mTc-TOC SRS is useful in staging of SSRT-overexpressing tumors of known and unknown primary origin, as well as in restaging after primary tumor surgery. This method is less effective in detecting suspected NET and assessing SPNs. Further investigation is necessary to evaluate the usefulness of SRS in monitoring patients after biological treatment.
Keywords: Organotechnetium Compounds - pharmacology, Octreotide - pharmacology, Neuroendocrine Tumors - pathology, Neoplasms - pathology, Neoplasm Staging - methods, Neoplasm Metastasis, Middle Aged, Medical Oncology - methods, Male, Humans, Follow-Up Studies, Female, Aged, Aged, 80 and over, Adult, Adolescent, Radionuclide Imaging - methods, Receptors, Somatostatin - metabolism






