Conservative treatment of a rare case of multifocal adenoid cystic carcinoma of the breast: case report and literature review
Gianluca Franceschini, Daniela Terribile, Ilaria Scafetta, Stefano Magno, Cristina Fabbri, Federica Chiesa, Alba Di Leone, Francesca Moschella, Assunta Scaldaferri, Simona Fragomeni, Valerio Vellone, Antonio Mule, Riccardo Masetti
Med Sci Monit 2010; 16(3): CS33-39
ID: 878450
Published: 2010-02-26

Background:
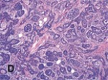
Adenoid cystic carcinoma of the breast is a rare neoplasm accounting for 0.1% of all malignant breast tumors and presenting most commonly as a painful breast mass. Compared with the more common histological forms of breast cancer, it has a more favorable prognosis and lymph node involvement or distant metastases seldom occur.
Material and Method:
A unique case of multifocal adenoid cystic carcinoma of the breast presenting as a painful and well-defined lump and treated with conservative surgery with adjuvant radiotherapy is reported.
Results:
Conclusions:
There is no consensus on the optimal management of this disease. A breast-conserving approach may be recommended even if mastectomy has been traditionally the treatment of choice. Chemotherapy, radiation, and hormonal therapy have been infrequently used and so far have had no defined role in this kind of neoplasm. The authors found no other reports in the literature focusing on a conservative approach to multifocal adenoid cystic carcinoma.
Keywords: Immunohistochemistry, Female, Humans, Carcinoma, Adenoid Cystic - ultrasonography, Breast Neoplasms - ultrasonography, Aged, Mammography






