Thyroid nodule with eggshell calcification and oncocytic thyroid cancer
Subhashini Yaturu, Laura Rainer
Med Sci Monit 2010; 16(3): CS25-28
ID: 878447
Published: 2010-02-26

Background:
To report an interesting case of Hurthle cell cancer of the thyroid with eggshell calcification, including ultra-sonographic, surgical, histological, and immuno-histochemical findings and discussion of diagnostic and therapeutic strategies.
Material and Method:
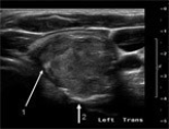
A 62 year old asymptomatic man with negative history of radiation, referred for evaluation of a thyroid nodule, had a 3-4 cm firm, mobile nodule in the left lobe of his thyroid. US of the thyroid revealed a normal right lobe and a large heterogeneous mass that was iso- and hyper-echoic, with peripheral halo and intra-nodular and peripheral coarse calcifications, measuring 2.8 x 3.0 cm, in the left lobe. US-guided FNA revealed a richly cellular specimen with numerous sheets of Hurthle cells with nuclear pleomorphism and intranuclear vacuoles. At macroscopic examination after thyroidectomy, an encapsulated tumor mass measuring 5.0 x 3.5 x 2.6 cm was found to have replaced the entire left lobe. The capsule was thick and hard, preventing the specimen from being cut, and requiring 3 days of pretreatment with a decalcifying agent before sections could be made. Microscopic examination revealed oncocytic or Hurthle cell carcinoma with pericapsular and vascular invasion. The patient received radioiodine ablation and was placed on suppressive doses of levothyroxine. At follow up, the thyroid ultrasound and scan remain negative with undetectable thyroglobulin. We could not find any reports of Hurthle cell thyroid cancer with such coarse or eggshell calcification.
Results:
Conclusions:
Egg shell calcification does not exclude the presence of camcer.
Keywords: Thyroid Neoplasms - ultrasonography, Thyroid Gland - pathology, Middle Aged, Male, Humans, Calcinosis - ultrasonography, Biopsy, Fine-Needle, Thyroid Nodule - ultrasonography






